Our Excellence of Care
Dr. Ibrahim Alhussain (Dr. Al) and his daughter, Dr. Reem, have extensive training and experience in orthodontics and pediatric dentistry and can confidently be consulted on even the most difficult cases. They take pride in providing excellent care from their family to yours.
Our Doctors Have Been Featured On:

Give Us a Call Today
Call (703) 821-2222Questions or Concerns?
Schedule a ConsultationOrthodontist in Vienna
If you're looking for an orthodontist in Vienna that will give you the all-inclusive care you desire, look no further than Tysons West Orthodontics and Children's Dentistry! Our dentists in Vienna will have you feeling like a million bucks with their top-notch oral treatments. Step out of our office refreshed and ready to show off your sparkling smile!
At Tysons West Orthodontics & Children's Dentistry, we proudly serve Vienna, VA and the surrounding areas of Northern Virginia. We are happy to work with families and individuals to help them look and feel their best. As part of our commitment to you, our comprehensive care is customized to suit your needs. We prioritize your health and comfort, ensuring that you have a bright and healthy smile.
At Tysons West Orthodontics and Children’s Dentistry, we know you deserve the best dentist in Vienna! That's why we strive to provide excellent patient service from start to finish. We offer a fantastic array of top-tier services that will make your dental visits as comfortable and efficient as possible. With our state-of-the-art technology, we provide everything you need to keep your oral health in tip-top shape! Whether you are a child or an adult, we are here to ensure that you receive the superior care you deserve with a smile. We offer an incredible range of
services:
At Tysons West Orthodontics and Children's Dentistry in Vienna, we don't want to rush you into any decisions. Making an important
dentist appointment is a process we take seriously, so if you're looking for a dentist in Vienna that has your best interest at heart, there is no need to search any further! We want to make sure you know exactly what the options are, and are more than happy to answer any questions or address any concerns you may have. See us today!
Welcome to Tysons West Orthodontics and Children's Dentistry, the premier destination for families seeking comprehensive dental and orthodontic care in Vienna, VA. As your trusted Vienna Pediatric Dentist and Orthodontist, we pride ourselves on providing top-notch services that cater specifically to both children and adults. Our commitment to personalized, family-friendly dentistry means we take extra steps to ensure every visit is comfortable, engaging, and beneficial for your oral health.
Are you ready to enhance your dental health? Make an appointment or text us now at (703) 821-2222 Don't miss out on our fantastic New Patient Dental Special for just $150, which includes a thorough exam, complete X-rays, and a professional cleaning—assuming there is no gum disease present (regular price $300). This offer is an excellent opportunity for new patients to experience the exceptional care we provide, including insights from our friendly team about preventive dental care in Virginia.
At Tysons West Orthodontics and Children's Dentistry, we’re excited to offer complimentary orthodontic consultations. Whether you’re considering braces or clear aligners for yourself or your child, our Dual Trained Orthodontist, Dr. Ibrahim Y. Alhussain, is here to guide you. With over 30 years of experience, Dr. Alhussain is renowned for his expertise in orthodontics in Vienna and is happy to address any concerns you may have about treatment options.
Families in Vienna can trust our leading-edge approach to oral health. Our Pediatric dentist Dr. Reem I. Alhussain is devoted to making children's dental experiences as enjoyable as possible. Her dedication to providing high-quality children’s dentistry in Vienna ensures that your child's first dental visits are positive, setting them up for a lifetime of healthy smiles. She focuses on preventive services, which include dental cleanings and exams, designed to teach good oral hygiene habits while keeping children relaxed and entertained.
Additionally, our practice utilizes advanced dental technology to enhance every patient's experience. This includes digital X-rays and 3D imaging, which allow for precise diagnostics and personalized treatments in a timely manner. Our innovative approach ensures that we remain a leading family dentist in Vienna, VA, and surrounding areas, delivering the best dental care tailored to your needs.
At Tysons West Orthodontics and Children's Dentistry, we recognize that dental visits can evoke anxiety, especially in children. That’s why we have created a friendly, family-oriented environment that prioritizes comfort and efficiency. From our kid-friendly waiting area filled with engaging activities to the gentle care provided by our expert team, we are committed to transforming dental visits into pleasant experiences.
Your family’s well-being is our top priority, which is evident in our comprehensive dental care approach. We understand that your family deserves the best, especially when it comes to children's dental services in Vienna. Our family-friendly staffing and patient-centric philosophy have made us a highly-rated local dental practice. We develop personalized treatment plans, enabling us to thoroughly address your dental health goals while ensuring all family members receive the utmost care and attention.
When emergencies arise, we are here for you too. Our emergency dental services in Vienna ensure that you have access to urgent care when you need it most. Whether your child has a toothache, or you require immediate assistance, our team is always a call away.
Another valuable resource we provide is our array of educational content designed to engage and inform our patients. Through informative blog posts and regular social media updates, we emphasize the importance of preventive care and staying informed about oral health. We believe that understanding dental health empowers families to make better choices for their smiles.
To make our services more accessible, we offer flexible payment plans and work with a wide range of insurance providers. Our goal is to ensure that every family can enjoy affordable pediatric dentistry without compromising on quality. By offering an inclusive approach to dental care, we help foster a community dedicated to oral health.
If you're searching for a friendly yet highly skilled Vienna Pediatric Dentist or exploring orthodontic consultations in Vienna, visit us or give us a call. Schedule a consultation with our qualified team. We invite you to see for yourself the difference personalized care can make.
As a dual-trained orthodontist and board-certified pediatric dentist, Dr. Ibrahim and Dr. Reem offer unparalleled expertise in managing even the most complex dental cases. Their combined knowledge in orthodontics and children's dentistry makes them uniquely qualified to serve your family.
At Tysons West Orthodontics and Children's Dentistry, we are passionate about building lasting relationships with our patients, ensuring each individual not only receives excellent care but also enjoys our commitment to compassionate and comprehensive dental treatments.
Don't forget to ask us about our ongoing special offers aimed at new patients and how our family dental care in Northern Virginia can provide peace of mind for you and your loved ones. It's easy to take the first step toward a brighter smile; simply call (703) 821-2222 or text us today!
Experience the Tysons West difference—where caring family values meet exceptional dental service. We look forward to welcoming you and your family to our practice, where your bright, healthy smiles are our passion!
Our Services
Orthodontics
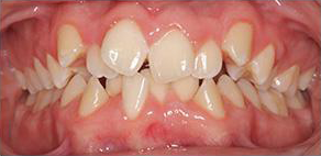
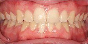
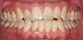
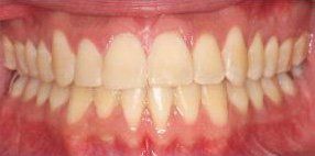
Dr. Al uses his 30 years of experience to provide expert care for orthodontic patients of all ages. Even the most complex cases can be resolved. Keeping your teeth in tip-top shape is important for everyone, and that's where an orthodontist comes in! If you're looking for an experienced dentist in Vienna to provide you with the latest orthodontic care, look no further. Dr. Ibrahim Alhussain and Dr. Reem Alhussain can help make sure the perfect smile of your dreams becomes a reality. Our range of services includes:
Children’s Dentistry
For Dr. Reem, it’s vital that young patients get an excellent start on a lifetime of good dental health. That means making every visit comfortable and even enjoyable. Teaching children the importance of dental visits and how to care for their teeth at home is also vital. Visiting the dentist in Vienna doesn't have to be a dreaded experience for kids! At Tysons West Orthodontics & Children's Dentistry, our kids dentist in Vienna provides a friendly atmosphere for children of all ages. We believe that kids should have fun while learning how to take care of their teeth. Our pediatric dentist in Vienna is experienced in helping kids feel comfortable during their dental appointment and even teaches them tricks to make it more fun! Whether you are looking for preventative care or need parental assistance with brushing and flossing, our kids dentist in Vienna has you covered. So come see why kids love Tysons West Orthodontics & Children's Dentistry - we make oral health an enjoyable experience!
Sleep Apnea
Snoring, gasping and interrupted sleep from sleep apnea can result in daytime sleepiness, fatigue and poor performance at school or work. Even children can suffer from this form of sleep-disordered breathing. Untreated, sleep apnea can cause severe health problems including heart failure and diabetes. We can help. At Tysons West Orthodontics & Children's Dentistry, we are ready to tackle your sleep apnea woes. With a selection of unique treatments and an emphasis on safety, you can rest assured that you'll receive top-tier services at our office. Don't let another sleepless night keep you counting sheep as this can lead to serious health problems that can have long-term effects. All it takes is one visit to an esteemed dentist in Vienna to find relief. Tysons West Orthodontics & Children's Dentistry professionals are here to give you the gift of quality sleep.
Special Needs Dentistry
The special needs patients in our community need practitioners who understand their unique emotional and medical needs. We are prepared to provide care for many types of special needs patients, including sedation or anesthesia when needed. Are you looking for a dentist in Vienna who can meet the unique needs of special needs individuals? Don't just settle for any run-of-the-mill dentist - visit the experts at Tysons West Orthodontics & Children's Dentistry! Our team is highly skilled and equipped with advanced education, training, knowledge, AND bedside manner. We don't just want to fix teeth - we're dedicated to creating an aesthetically pleasing smile that makes you and your loved one feel comfortable every visit. All this under one roof = Together at Tysons West Orthodontics & Children's!








